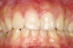
審美歯科とは、本来の健康的で機能的な治療に加えて、口腔内の全体的な美しさをより高める歯科治療です。
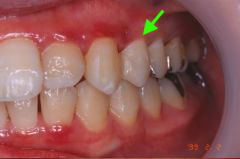
メタルボンド(陶材焼付鋳造冠)
通常のセラミックの歯で内面に金属があります。歯肉の色が少し暗く見える場合があります。
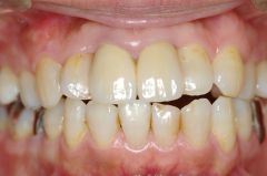
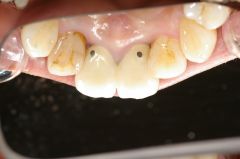
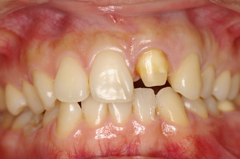
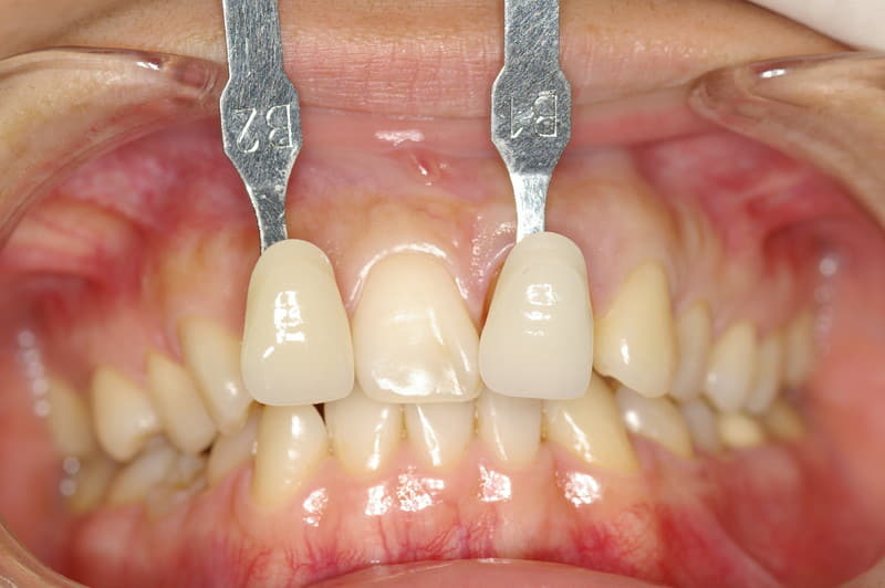
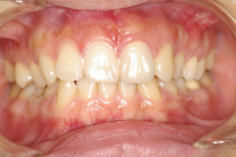
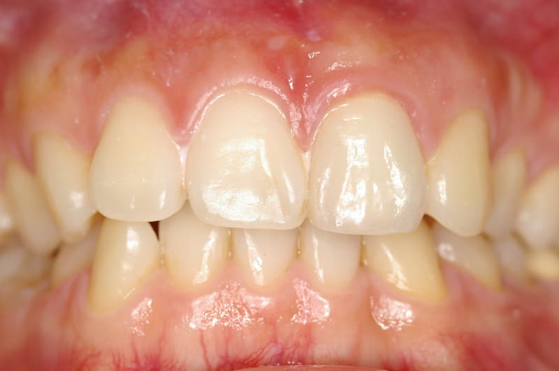
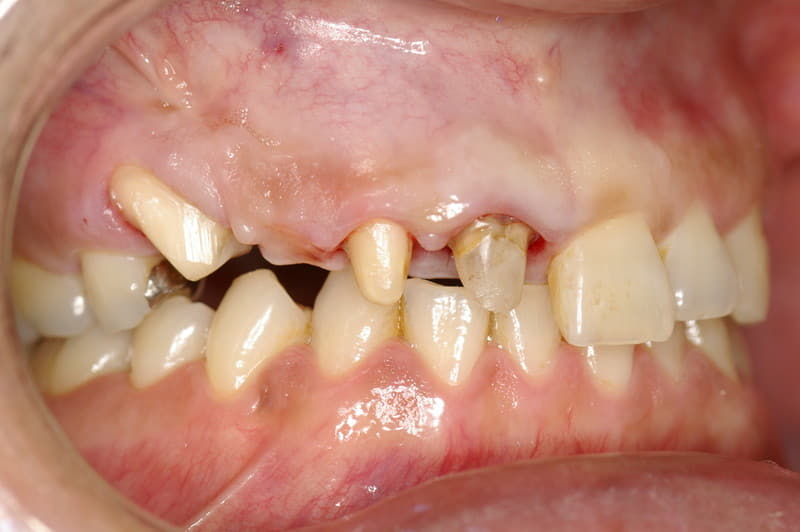
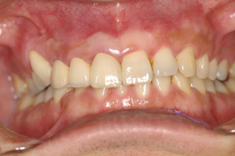
ケース1


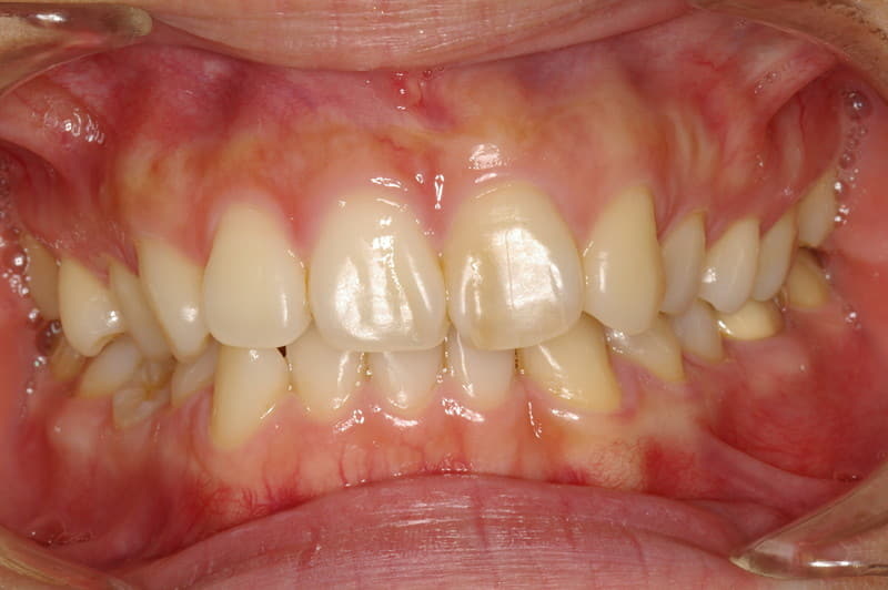
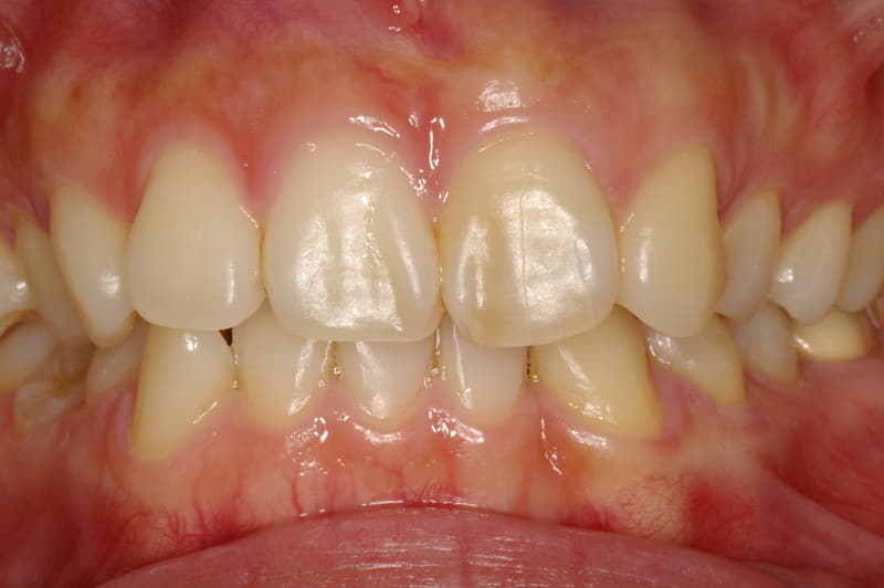
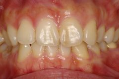
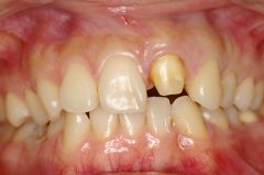
ケース2


保険治療と自費治療の違い
セラミックの歯?樹脂の歯?
健康保険を適用した治療でも、一部の場合において白い樹脂の歯を入れることができます。樹脂で出来た歯は、熱いものを食べると少しだけ膨張し、冷たいものを食べると収縮します。お口の中はこの繰り返しですので、いずれ壊れてしまうこともあります。色も変色してしまいます。
セラミックの歯を入れることが出来ます。とても自然で、見た目にもセラミックの歯であることは分からないのが一般的です。セラミックは樹脂に比べて、歯茎に刺激がなく色も変わりません。また、セラミックは長持ちします。セラミックの歯の内側に使う金属も、ゴールドがたくさん入った身体に優しいものが使われています。
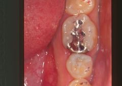
ゴールドの歯?シルバーの歯?
健康保険を適用した治療で、金属の歯をかぶせる場合はシルバー色の歯になります。ゴールドが12%入った金属で、色はシルバー色です。シルバー色はお口の中では黒っぽく見えてしまいます。
ゴールドの含有量の多い金属を使用しますので、色はゴールド色。ゴールド色は、お口の中で目立たず自然です。また、身体に優しく、アレルギーなどの心配もほとんどありません。ゴールドの金属は、程よい硬さで土台になる自分の歯とぴったりと合いますので、二次カリエス(治療したのにまた虫歯になること)の発生を予防できます。いいことばかりのゴールドの歯です。
インプラント治療
インプラント治療は全て自費治療です。
健康保険は適用されておりません。
歯牙移植
歯を、本来の場所から歯が無くなってしまった場所へ、移し変える処置のことです。









































